
「毎日歯を磨いているのに、歯ぐきから血が出る」「最近、口臭が気になり始めた」といった悩みはありませんか?これらの症状は、お口の中の細菌バランスが崩れ、歯周病が静かに進行しているサインかもしれません。歯周病は、単に歯を失うだけでなく、全身の健康にも深刻な影響を及ぼすことがわかってきています。
健康な口内環境を整えるためには、単に磨くだけではない「戦略的なセルフケア」が必要です。細菌の住処となるバイオフィルムをいかに効率的に破壊し、炎症を抑えるか。そのための具体的な手法や道具選びには、いくつかの重要なポイントがあります。
これから、歯周病を防ぎ、清々しいお口の状態を維持するための実践的な方法を詳しく解説します。最新の歯科知見に基づいたブラッシング技術やフロスの活用法、さらにはマウスウォッシュ選びのコツまで、明日からすぐに実践できる情報をお届けします。一生自分の歯で美味しく食事を楽しむための、確かな一歩としてご活用ください。
目次
1. 健康な口内環境の基本を理解する
2. 効果的なブラッシングテクニック
3. デンタルフロスの正しい使い方
4. マウスウォッシュ選びのポイント
5. 口内洗浄器の活用法
6. 定期的な歯科クリーニングの重要性
7. バランスの良い食事で改善する
8. プロバイオティクスの可能性
9. 口内細菌の管理方法を学ぶ
10. セルフチェックで健康状態を維持
1. 健康な口内環境の基本を理解する
口内環境を整えるための第一歩は、敵を知ること、つまり「プラーク(歯垢)」の性質を正しく理解することにあります。プラークは食べかすではありません。それは、数億もの細菌が強固な膜を作って住み着いている「バイオフィルム」という生命体です。
細菌の温床「バイオフィルム」の正体
バイオフィルムは、排水溝の「ヌメリ」のようなもので、うがいをした程度では決して落ちません。
- バリア機能: 細菌同士が粘着性の高い物質を作り出し、薬剤や免疫細胞から身を守っています。これを「物理的に破壊」しない限り、口内環境は改善しません。
- 歯周ポケットへの侵入: 歯と歯ぐきの隙間(歯周ポケット)に入り込んだ細菌は、毒素を出して歯を支える骨を溶かし始めます。これが歯周病の正体です。
- 時間経過による硬化: プラークを放置すると、唾液中の成分と混ざって約48時間で「歯石」へと変化します。歯石になると、もう自分では取り除くことができません。
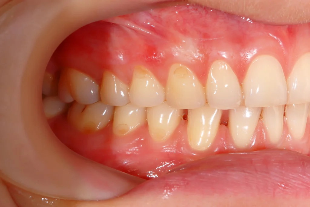
健康な歯茎と不健康な歯ぐきの違い
まずは、ご自身の現在の立ち位置を確認しましょう。
- 健康な状態: 歯茎が薄いピンク色で、引き締まっている。ブラッシングをしても出血しない。
- 歯肉炎の状態: 歯茎の縁が赤く腫れ、歯を磨くと出血する。これはまだ「元に戻せる」段階です。
- 歯周炎の状態: 歯茎が下がり、歯が長く見える。膿が出たり、歯が揺れたりする。骨の破壊が始まっており、専門的な治療が不可欠です。
口内環境の自己診断テーブル
関連記事:予防歯科の基本と重要性|虫歯・歯周病予防から健康寿命を延ばす習慣まで解説
2. 効果的なブラッシングテクニック
「毎日3回磨いている」という方でも、実際には汚れの半分も落とせていないことがよくあります。重要なのは「時間」よりも「精度」です。歯周病菌が最も好む場所を狙い撃ちするテクニックを身につけましょう。
「バス法」で歯周ポケットを掃除する
歯周病予防において、最も推奨されるのがバス法という磨き方です。
- 45度の角度で当てる: 歯ブラシの毛先を、歯と歯茎の境目に対して45度の角度で当てます。
- 微振動させる: 5mm〜10mm程度の幅で、小刻みに動かします。これにより、毛先がわずかに「歯周ポケットの中」に入り込み、細菌を掻き出します。
- 力を入れすぎない: 歯ブラシの毛先が広がってしまうほどの力は強すぎます。毛先の弾力を生かし、優しく、かつ確実に汚れを捉えてください。
歯ブラシ選びの重要な基準
どんなに技術があっても、道具が適切でなければ効果は半減します。
- 硬さは「ふつう」または「やわらかめ」: 歯茎が腫れている時は、出血を恐れて「やわらかめ」を使い、健康になるにつれて「ふつう」に移行するのがベストです。
- ヘッドは「小さめ」を選択: 奥歯の奥や、歯並びが複雑な箇所に届かせるためには、コンパクトなヘッドが圧倒的に有利です。
- 毛先の形状: 歯周病が気になる方は、毛先が細くなっている「極細毛」タイプを選ぶと、ポケットへのアプローチがスムーズになります。
磨き残しを防ぐブラッシングのルール
完璧なブラッシングのための心得
- 順番を決める: 「右下の奥から一周する」など自分なりのルーティンを作り、磨き忘れを物理的に排除する。
- 鏡を見る: 目を閉じて磨くのではなく、毛先がどこに当たっているかを目視で確認する。
- 就寝前を最も丁寧に: 寝ている間は唾液が減り、細菌が爆発的に増えるため、夜のブラッシングに最も時間をかける。

3. デンタルフロスの正しい使い方
歯ブラシだけで落とせる汚れは、全体の約60%に過ぎないという衝撃的なデータがあります。残りの40%は「歯と歯の間」に潜んでおり、ここはフロスを使わなければ一生掃除できない場所です。
フロスを使うことの劇的なメリット
「面倒くさい」を乗り越えた先には、健康な歯茎が待っています。
- プラーク除去率の向上: 歯ブラシにフロスを加えるだけで、汚れの除去率は約80〜90%まで跳ね上がります。
- 初期むし歯の発見: フロスが引っかかったり、ほつれたりする場所は、隠れた虫歯や詰め物の浮きの兆候です。
- 口臭の改善: 歯の間に詰まったタンパク質が腐敗するのを防ぐため、翌朝の口の粘つきや臭いが激減します。
初心者がマスターすべきフロスのコツ
ただ通すだけでは不十分です。歯の側面に沿わせることがポイントです。
- のこぎりのように動かす: 勢いよく入れると歯ぐきを傷つけます(フロスカット)。「ギコギコ」とゆっくり前後させながら入れましょう。
- 「Cの字」に巻き付ける: 歯の側面に沿ってフロスをしならせ、歯茎の溝の中まで優しく潜り込ませます。
- 使い捨てタイプから始める: 糸を指に巻くのが難しい方は、ホルダー付き(F字・Y字)のタイプで習慣化することを目指しましょう。
補助清掃用具の使い分け表
4. マウスウォッシュ選びのポイント
ドラッグストアには数多くの洗口液が並んでいますが、「どれも同じ」ではありません。自分の目的に合わないものを選んでしまうと、期待した効果が得られないばかりか、逆に口の中が乾燥して逆効果になることもあります。成分表示を確認する習慣をつけましょう。
「洗口液」と「液体歯磨き」の違いを理解する
まず大前提として、この2つの使い方は全く異なります。
- 洗口液(マウスウォッシュ): 歯磨きの「後」に使用します。食べかすの洗い流しや、有効成分によるコーティングが目的です。
- 液体歯磨き: 歯磨き粉の代わりです。口に含んですすいだ「後」に、ブラッシングをすることで効果を発揮します。
症状別:推奨される有効成分
お悩みに合わせて、以下のキーワードが入っているものを選んでください。
- 歯周病予防: 「CPC(塩化セチルピリジニウム)」や「IPMP(イソプロピルメチルフェノール)」などの殺菌成分。特にIPMPはバイオフィルムの内部まで浸透しやすい特性があります。
- 出血・腫れの抑制: 「トラネキサム酸」や「グリチルリチン酸ジカリウム」といった抗炎症成分。
- 口臭対策: 「二酸化塩素」や「グルコン酸銅」などが、臭いの元となる揮発性硫黄化合物を中和します。
マウスウォッシュ使用時のチェックリスト
失敗しないマウスウォッシュの選び方
- アルコールの有無: 刺激に弱い方やドライマウス気味の方は「ノンアルコール(低刺激)」タイプを優先する。
- ゆすぎ過ぎない: 使用後に水で何度もゆすぐと有効成分が流れてしまうため、軽く吐き出す程度にする。
- 補助的な位置づけ: マウスウォッシュはあくまで「仕上げ」であり、ブラッシングの代わりにはならないことを肝に銘じる。
次に読む:歯周病と全身疾患の関連性を考察
5. 口内洗浄器の活用法
最近、家庭でも普及が進んでいる「ウォーターフロス(口腔洗浄器)」は、水流の力で汚れを飛ばす画期的なアイテムです。特に、歯周ポケットが深くなっている方や、矯正器具をつけている方にとっては、セルフケアの質を一段階引き上げる強力なツールとなります。
水流洗浄がもたらす独自の効果
糸フロスや歯ブラシだけでは届かない領域へアプローチできます。
- 歯周ポケット内の洗浄: 物理的な毛先が届きにくい深さの汚れを、微細な水流が洗い流します。
- 歯茎のマッサージ効果: 適度な水圧が歯茎の血行を促進し、組織の活性化を助けます。
- 圧倒的な「スッキリ感」: 磨き終わった後に使用すると、まだこれだけ汚れが残っていたのかと驚くほど、食べかすが排出されることがあります。
効果を最大限に引き出す使い方の手順
ただ当てるだけではなく、コツを掴むことで周囲への水跳ねも防げます。
- 低い水圧から始める: 最初から最大パワーで使うと歯茎を痛めます。まずは最小設定から慣らしていきましょう。
- ノズルの角度に注意: 歯に対して垂直に当てるのではなく、少し斜めからポケットをなぞるように動かすのがコツです。
- ぬるま湯を使用する: 知覚過敏がある方は、冷水だと痛みを感じることがあります。35度前後のぬるま湯を使うと快適に使用できます。
口内洗浄器のメリット・デメリット比較

6. 定期的な歯科クリーニングの重要性
日々のセルフケアをどれほど徹底していても、お口の中にはどうしても手の届かない「死角」が存在します。歯周病を根本から抑制し、清々しい口内環境を維持するためには、歯科医院でのプロフェッショナルケアが欠かせません。自分で行う掃除を「日常の掃除」とするならば、歯科クリーニングは「プロによる大掃除」と言えます。
自分では落とせない「歯石」の除去
プラーク(歯垢)が唾液中のミネラルと結びついて硬くなった「歯石」は、石のように硬く、歯ブラシではビクともしません。
- 細菌のシェルターを壊す: 歯石の表面はザラザラしており、さらに新しいプラークが付着しやすい構造になっています。これを専用のスケーラーで除去することで、細菌が増殖しにくい環境を作ります。
- 歯周ポケット深部の清掃: セルフケアでは届かない、歯茎の奥深く(3mm以上)に入り込んだ汚れを、専門の器具で丁寧に取り除きます。
- バイオフィルムの完全破壊: 歯科医院のクリーニングでは、細菌が作った強固な膜(バイオフィルム)を物理的に剥がし取り、口内の細菌叢をリセットします。
予防歯科がもたらす長期的なメリット
定期検診に通うことは、単に汚れを落とす以上の価値をあなたにもたらします。
- 早期発見による負担軽減: 歯周病や虫歯を無症状のうちに見つけることで、治療期間を短縮し、痛みを伴う処置を回避できます。
- パーソナライズされた指導: あなたの歯並びや磨き癖に合わせた、具体的なアドバイスを受けることができます。これが、結果的に一生自分の歯で噛める確率を飛躍的に高めます。
- 全身疾患の予防: 歯周病菌が血管を通じて全身に回るリスクを抑えることで、糖尿病や心疾患などの予防にも寄与します。
歯科検診で受けるべき基本メニュー
関連ニュース:歯周病治療における最新技術とアプローチ
7. バランスの良い食事で改善する
口内環境を整えるためには、外側からの掃除だけでなく、内側からのアプローチ、つまり「食事」を見直すことが欠かせません。私たちが口にするものは、直接的に細菌の餌となり、あるいは私たちの免疫力を左右して歯周病菌との戦いをサポートします。
細菌を喜ばせない食習慣のルール
口内の細菌バランスを悪化させないための、具体的なポイントを整理しましょう。
- 糖質の過剰摂取を控える: 砂糖(ショ糖)はプラークの粘着性を高める材料になります。特に、長時間口の中に糖分が留まるような間食の仕方は避けましょう。
- 「だらだら食い」を止める: 食事のたびに口内は酸性に傾き、歯が溶けやすい状態(脱灰)になります。時間を決めて食べることで、唾液による中和(再石灰化)の時間を確保できます。
- よく噛んで食べる: 噛む刺激は唾液の分泌を促します。唾液には自浄作用や抗菌作用があり、最強の天然のマウスウォッシュとして機能します。
歯ぐきの健康をサポートする栄養素
炎症を抑え、組織の修復を助ける成分を積極的に取り入れましょう。
- ビタミンC: 歯茎の主成分であるコラーゲンの合成を助け、血管を丈夫にします。キウイやブロッコリーなどが代表的です。
- カルシウムとビタミンD: 歯を支える土台となる顎の骨を強く保つために不可欠です。
- 食物繊維: 噛み応えのある野菜などは、食べる過程で歯の表面を物理的に清掃する「自浄性食品」としての役割も果たします。
歯周病に負けない食事のコツ
ベジタブルファースト: 食物繊維豊富な野菜から食べることで、唾液の分泌をスムーズにする。
加工食品を減らす: 添加物や精製された糖質が多い食品は、口内の粘つきの原因になる。
水分補給は水かお茶: 甘い飲み物は避け、口の中を常に中性に保つよう意識する。
付随記事:歯周病予防のための生活習慣改善法
8. プロバイオティクスの可能性
近年、腸内環境を整えるように、お口の中の「菌の質」を変えるバクテリアセラピーが注目されています。殺菌剤で全ての菌を殺すのではなく、善玉菌を増やすことで歯周病菌を抑制するという、身体に優しい次世代のケア方法です。
善玉菌が口内環境をどう変えるのか
特定の善玉菌(ロイテリ菌など)を摂取することで、以下のような効果が期待できます。
- 歯周病菌の増殖抑制: 善玉菌が口内に定着することで、悪玉菌である歯周病菌の居場所を奪い、その数を自然に減らしていきます。
- 炎症の緩和: 善玉菌が作り出す物質が、歯茎の腫れや出血といった炎症を鎮めるサポートをします。
- 口臭の根本改善: 臭いの原因となる悪玉菌を抑えるため、一時的なマスキングではない持続的な口臭抑制が可能になります。
プロバイオティクスの取り入れ方
日々の習慣にプラスアルファするだけで始められます。
- 専用サプリメント・タブレット: 夜の歯磨き後に舐めるだけのタイプが主流です。寝ている間に善玉菌が口内に広がります。
- ヨーグルトの活用: 特定の乳酸菌(L8020菌など)を含むヨーグルトも市販されています。ただし、糖分が含まれているものは逆効果になるため、無糖のものを選びましょう。
- 継続が鍵: 菌のバランスは数日で変わるものではありません。最低でも2週間から1ヶ月程度は継続して様子を見ることが大切です。

9. 口内細菌の管理方法を学ぶ
お口の健康は、単なる努力の量だけでなく「管理」の質で決まります。特に、ライフステージや体調の変化によって、口内細菌は刻一刻と変化します。今の自分にどのようなリスクがあるのかを把握し、パーソナライズされた管理を行いましょう。
細菌が活発になる「リスクタイム」を知る
24時間の中で、特に注意が必要な時間帯があります。
- 就寝中の魔の時間: 寝ている間は唾液の分泌が極端に減り、口内が乾燥します。これにより細菌は約30倍に増殖すると言われています。寝る前のケアを最優先にすべき理由はここにあります。
- 更年期・妊娠期などのホルモン変化: ホルモンバランスが乱れると、特定の歯周病菌が好む環境になりやすく、歯茎が腫れやすくなります(妊娠性歯肉炎など)。
- 加齢によるドライマウス: 加齢や薬の副作用で唾液が減ると、自浄作用が弱まり、細菌管理の難易度が上がります。こまめな水分補給が重要です。
生活習慣に潜む「細菌の増殖因子」
日々の何気ない習慣が、歯周病菌を強力にサポートしてしまっているかもしれません。
- 喫煙の弊害: タバコは血管を収縮させ、歯茎の酸素を奪います。さらに、炎症が隠されてしまうため、気づかないうちに歯周病が重症化する最大の要因です。
- ストレスと免疫: 強いストレスは免疫力を低下させ、細菌への抵抗力を奪います。「疲れると歯茎が疼く」のは、身体が発しているSOSです。
- 口呼吸の改善: 口で息をすると口内が乾燥し、細菌が定着しやすくなります。鼻呼吸を意識し、必要であれば「あいうべ体操」などで口周りの筋肉を鍛えましょう。
細菌管理を強化する習慣
- 起床後すぐのうがい: 寝ている間に増えた細菌を、食事と一緒に飲み込まないように排出する。
- 舌の清掃: 細菌の巨大な溜まり場である「舌苔(ぜったい)」を、舌ブラシで優しく取り除く。
- 唾液腺マッサージ: 頬や顎の下を優しく刺激し、サラサラした質の良い唾液の分泌を促す。
10. セルフチェックで健康状態を維持
歯周病は「静かなる病気(サイレント・ディジーズ)」と呼ばれ、痛みが出る頃には手遅れになっていることも少なくありません。日々、自分のお口の状態を客観的に観察するセルフチェックの習慣を持つことが、将来の抜歯を避けるための最強の防衛策となります。
鏡の前で確認すべき3つのポイント
毎日10秒、鏡を見る時間を持ちましょう。
- 歯茎の「形」と「色」: 歯と歯の間の三角形の歯ぐきが、プクッと丸くなっていないか。色は健康的なピンクか、それとも赤紫か。
- 歯の「長さ」の変化: 以前に比べて歯が長く見えるようになったり、根っこが露出したりしていないか。これは歯ぐきが下がっているサインです。
- 歯の「位置」と「隙間」: 前歯に隙間が空いてきたり(出っ歯傾向)、歯並びが崩れてきたりしていないか。歯周病で骨が溶けると歯は動きやすくなります。
自分の「感覚」に耳を傾ける
数値化できない違和感こそが、重要な判断材料になります。
- 味覚の異常: 何も食べていないのに、口の中が苦い、あるいは酸っぱい感じがしないか。これは膿や細菌由来の物質が原因かもしれません。
- 噛み心地の変化: 特定の歯だけが浮いた感じがしたり、以前より強く当たる感覚がないか。
- 家族や友人からの指摘: 自分では気づきにくい口臭は、信頼できる人に確認してもらうのが最も確実です。
日常の細かな配慮が、お口と身体の健康を守る一生の財産になる
歯周病予防と口内環境の改善は、今日始めたからといって明日すぐに結果が出るものではありません。しかし、「正しい磨き方」「フロスの習慣」「定期的なプロケア」を愚直に続けることこそが、将来的に抜歯という大きな損失を防ぐ唯一の道です。お口の健康は、単に歯の問題にとどまらず、心疾患や糖尿病といった全身疾患の予防にも直結する、人生の質(QOL)を支える礎です。
まずは、明日からドラッグストアで自分に合ったフロスやマウスウォッシュを選び、鏡を見ながら丁寧なブラッシングを意識することから始めてみてください。そして、3ヶ月に一度の定期検診をカレンダーに書き込み、プロの力を借りる勇気を持ってください。その一歩一歩が、数十年後のあなたが「自分の歯で噛める喜び」を噛み締めるための、確かな投資となります。
歯周病と口内環境に関するよくある質問
A. 出血する場所こそ、優しく念入りに磨く必要があります。
出血は炎症のサインであり、原因はそこに残った細菌です。避けて通るとさらに細菌が増え、炎症が悪化します。柔らかいブラシでマッサージするように磨き続けると、数日で出血は収まります。
A. なりません。細菌の膜(バイオフィルム)は物理的に擦らないと落ちません。
マウスウォッシュはあくまで補助です。排水溝のヌメリが洗剤をかけるだけでは落ちないのと同様、歯ブラシやフロスによる「物理的な破壊」が不可欠です。
A. フロスで隙間が広がることはありません。むしろ腫れが引いた健康な証拠です。
隙間が空いたように感じるのは、フロスによってプラークが取り除かれ、腫れていた歯ぐきが引き締まって本来の形に戻ったためです。健康に向かっている良いサインです。
A. お口の状態によりますが、一般的には3ヶ月〜半年に1回が理想です。
プラークが再形成され、歯石化するサイクルを考えると3ヶ月ごとのリセットが最も効果的です。リスクが高い方は、より短い間隔での受診を勧められることもあります。
こちらも読まれています:歯の健康を守るための予防歯科ケアガイド
執筆者
内藤洋平
丘の上歯科醫院 院長
平成16年:愛知学院大学(歯)卒業
IDA(国際デンタルアカデミー)インプラントコース会員
OSG(大山矯正歯科)矯正コース会員
YAGレーザー研究会会員




























